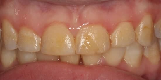
When this patient came to see us, his smile had undergone serious discoloration and wear, especially on the upper row of teeth. A set of high-quality dental crowns turned out to be the clear solution. His smile was transformed, brighter, straighter, and stronger as the result of our dentist’s expert treatment.

