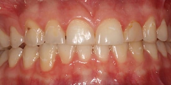
This patient came to us unsatisfied with the alignment and color of her teeth. After receiving a smile lift treatment from our expert doctors, she has a beautiful smile that she can show off with confidence.
New Patient Special!
$129
Comprehensive Exam and X-Rays
*Exclusions Apply; See New Patients Page For More Info.