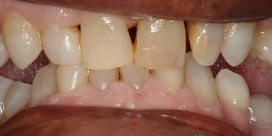
When this patient came to see us, her smile was crooked, gapped, and discolored. Our experts recommended a set of dental crowns as a solution to all of these issues. Her newly transformed smile is straight, healthy, and shines like never before.
New Patient Special!
$129
Comprehensive Exam and X-Rays
*Exclusions Apply; See New Patients Page For More Info.